L’hebdomadaire de la profession
pour les kinésithérapeutes

Rééducation oro-maxillo-faciale après une chirurgie sur mesure, une approche personnalisée

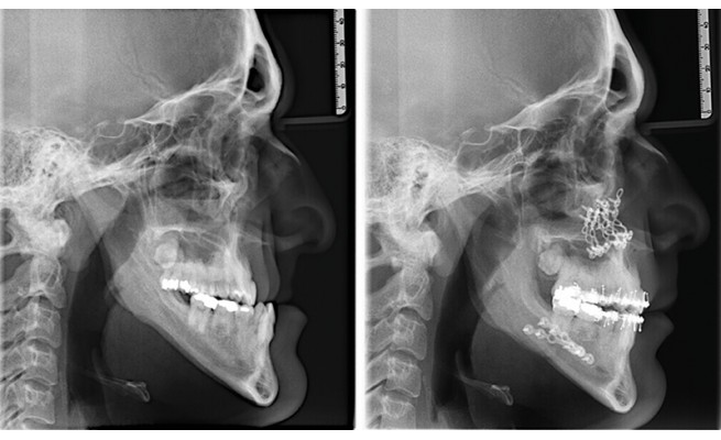
Fig. 1 : Après une chirurgie orthognatique, il y a une phase d’adaptation neuromusculaire qui peut durer plusieurs mois, durant laquelle le risque de décompensation fonctionnelle est maximal.

Isabelle Breton, Sophie Conrard
Kiné actualité n° 1696 - 23/04/2026

La Société internationale de kinésithérapie linguale oro-maxillo-faciale (Siklomf) organisait le 20 mars à Marseille une journée pour les rééducateurs, kinésithérapeutes et orthophonistes, dans le cadre du congrès annuel de la Société française de stomatologie, chirurgie maxillo-faciale et chirurgie orale (SFSCMFCO), qui portait sur la chirurgie sur mesure et l'approche personnalisée. Voici ce qu'on peut en retenir.

Commentaires :

Déposer un avis (vous devez être connecté) Soumettre
Tous les articles
Nous vous suggérons aussi...